INNOVATIVE AI-SOFTWARE PAVES WAY FOR PERSONALISED TREATMENT OF CYSTIC FYBROSIS
Nijmegen, 6 October 2020 – Thirona, a company specialising in artificial intelligence (AI) for medical image analysis, has obtained an exclusive license on a patent in relation to Cystic Fibrosis (CF), a rare genetic condition that creates lung abnormalities from a very early age. The patent allows Thirona to develop an AI algorithm that will analyse CT scans to identify even the smallest abnormalities in the lungs, especially early on, ensuring that the right treatment can follow. The AI software is expected to have a substantial impact on patients suffering from CF, as it paves the way for earlier and more personalised treatment of the disease.
Building on existing research
Worldwide, there are approximately 70,000 known cases of CF, making it a rare genetic disorder. Years of research on the disease, conducted by the Erasmus University Medical Centre Rotterdam in the Netherlands and the Telethon Kids Institute in Australia, previously resulted in PRAGMA-CF: a quantitative method for the analysis of chest CT scans of children with CF. The current PRAGMA-CF method allows clinicians to manually assess the extent of lung disease in children with CF. However, the use of PRAGMA-CF requires extensive training and is time-consuming. Medical artificial intelligence company Thirona, which has worked on diseases like COPD, Asthma, and Tuberculosis, has now obtained an exclusive license to a patent to integrate the method into its certified LungQ™ software, as well as co-exclusive rights to use the underlying datasets of PRAGMA-CF. By leveraging artificial intelligence, clinicians will have an automated method to detect and quantify the extent of CF lung disease – thus helping to improve care and clinical decision-making for these patients.
Artificial intelligence for Cystic Fibrosis
Prof. Dr. Harm Tiddens from Erasmus MC, about the collaboration: “Chest CT is the best way to assess the structural changes related to CF lung disease even at an early stage in young children. PRAGMA-CF, developed and validated together with the Telethon Kids Institute, provides a sensitive and quantitative image analysis method to assess the extent of CF lung disease. The collaboration with Thirona is of key importance for the development of fully automated PRAGMA-CF software. Their scientists have not only artificial intelligence expertise but also in-depth knowledge of the lung. This allows them to ask us the right questions needed for the development of sensitive and accurate software. Integration of PRAGMA-CF into their LungQ platform will make it accessible for CF clinicians around the world for clinical care as well as for clinical studies.”
Proud to make a difference
Dr. Eva van Rikxoort, Managing Director of Thirona, about the patent: “Artificial intelligence algorithms make medical image analysis easier, more accurate and more effective. But it is hard work. Developing an algorithm that works as well as – and sometimes even better than – a clinician, takes time. This is especially the case when developing a solution/algorithm to be used on the analysis of CT scans of children. They are still growing, and their bodies and organs therefore keep changing, with or without a condition. All these changes with age must be calculated into the algorithm; a time-consuming process, but one that is worthwhile. The algorithm we are developing will be able to quickly and accurately detect bronchiectasis and mucous quantifications in very young patients with CF, making personalised treatment easier. We believe this will have a substantial impact for patients and are proud to be part of the process.”

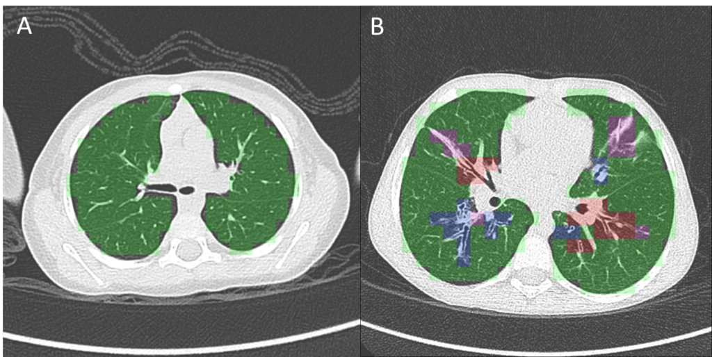
CT scan of (A) a patient with normal lungs and (B) a patient with severe cystic fibrosis, analyzed with PRAGMA-CF. This analysis quantifies disease patterns related to CF, including normal lung tissue (green), bronchiectasis (blue), airway thickening (red) and mucous plugging (pink). Thirona is developing an automated AI solution to quickly and accurately quantify PRAGMA-CF disease patterns.
About Thirona
Thirona is an innovative Dutch company specialised in artificial intelligence for medical image analysis. By creating intuitive and user-friendly products, it bridges the gap between academic ideas and clinical use. Thirona supports medical professionals in their daily tasks working with thoracic CT-scans (LungQTM), chest X-rays (CAD4TBTM) and retinal scans (RetCADTM). A start-up in 2014, Thirona has grown to become an important player in the medical field, with innovative AI-solutions used in over forty countries worldwide. For more information visit https://thirona.eu/.
About Erasmus MC
Erasmus MC is the largest University Medical Center in the Netherlands. Our primary goal is a healthy population. Over 14,000 employees devote themselves every day to providing outstanding care, facilitating world-class education and conducting pioneering research. These professionals are instrumental in developing expertise on health and illness. They link the latest scientific insights to practical treatments and prevention measures to provide maximum benefit to patients and to enable healthy people to stay healthy longer. Being visibly better and leading the way in the areas of complex, innovative and acute care by collaborating with others: these are key ambitions at Erasmus MC.
About Telethon Kids Institute
The Telethon Kids Institute is based within the Perth Children’s Hospital and is one of the largest and most successful medical research institutes in Australia, comprising a dedicated and diverse team of more than 900 staff and students. We’ve created a bold blueprint that brings together community, researchers, practitioners, policy makers and funders, who share our vision to improve the health and development of children through excellence in research, and the application of that knowledge. The Institute is headed by leading paediatrician and infectious diseases expert Professor Jonathan Carapetis, with Founding Director Professor Fiona Stanley now Patron. Telethon Kids is independent and not-for-profit. The majority of funding comes from our success in winning national and international competitive research grants. We also receive significant philanthropic support from corporate Australia and the community, most notably through our Principal Partner, Telethon.