Thirona launches AI software for Cystic Fibrosis

Thirona developed an AI algorithm that revolutionizes cystic fibrosis (CF) care.
Thirona Teams Up with Smart Reporting to Further Improve Covid-19 Detection

With the COVID-19 pandemic ongoing, Thirona starts a new collaboration to further improve and accelerate the detection of the virus.
CAD4COVID-XRay performs comparable to radiologists

Artificial intelligence tool CAD4COVID-XRay can perform comparably to radiologists in triaging suspected COVID-19 cases by analysing chest X-rays.
CAD4COVID in Top 10 innovations at UNECA Innovation Challenge

We are honoured that CAD4COVID has been nominated for the Top 10 innovation at COVID-19 Innovation Challenge 2020 organized by the UNECA.
RetCAD is cleared for clinical use in New Zealand

We look forward to working with our users in New Zealand on the analysis of their retinal images.
CAD4COVID-XRay and CAD4COVID-CT are CE certified

Our Notified Body has granted CE certifications for both our CAD4COVID-CT and CAD4COVID-XRay solutions.
LungQ is cleared for clinical use in South Korea
We look forward to working with our South Korean users on quantitative analysis of their chest CT scans.
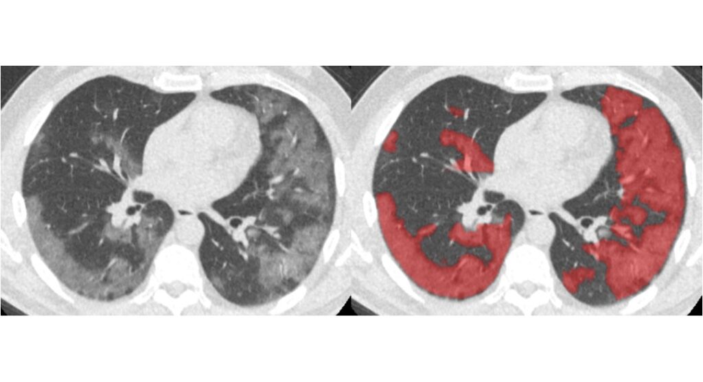
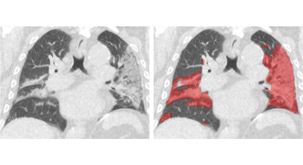
We have launched CAD4COVID-CT

We are proud to launch CAD4COVID-CT, our artificial intelligence software for the analysis of COVID-19 on CT scans.
Triage for COVID-19 Using AI on Chest X-rays

Thirona has screened over 6 million people in 40 countries with its proven CAD4TB solution.
RetCAD validation and approval

RetCAD is validated in a scientific study and is also approved for clinical use in Singapore.
CAD4TB v6 evaluation paper

The paper demonstrates that this latest version of CAD4TB outperforms all previous versions; the software is now operating at the level of expert human readers in detecting TB from chest X-Ray.